Lo

PINWORM

There has been a noticeable rise in concerns regarding pinworm (Oxyuris equi) cases in recent years. We believe that the combination of more focused deworming strategies and a tendency to use ivermectin or moxidectin, which are less effective against this particular parasite, has contributed to this issue. Although pinworms do not pose a direct risk to equine health and are unlikely to lead to severe illness, they can cause considerable discomfort for some horses, resulting in significant irritation. This troublesome parasite can be quite challenging to eliminate.

The life cycle of the pinworm differs significantly from that of most other worms found in a horse’s gastrointestinal tract in several key aspects: Pinworm eggs are typically ingested by horses from contaminated surfaces where infected horses have scratched themselves, leaving behind eggs. Once ingested, these eggs hatch and the worms reside in the intestine.

Notably, there is no need for an intermediate host, and the worms do not migrate to other organs within the body, making them relatively harmless to the horse.

Female pinworms embark on a unique journey to lay their eggs, exiting the rectum to deposit them on the skin around the anus. This process leaves behind a sticky, yellowish substance that can often be observed beneath the tails of infected horses.

It is believed that this residue contributes to the itching experienced by these horses.

The pinworm life cycle is relatively prolonged, with worms taking up to five months to reach maturity. The immature stages of the worm are less susceptible to deworming treatments, which may allow them to survive even after treatment.

EFFECTS IN HORSES

While pinworms do not pose a significant health risk compared to other types of worms, their presence can lead to irritation. In some cases, this irritation is severe enough that horses may rub their hindquarters, legs, and tails raw, potentially resulting in skin infections, discomfort, and even depression.

As female pinworms make their way to the anus to lay eggs, they may be expelled in feces, which can be visually unappealing, especially in social settings.

DETECTING PINWORM IN HORSES

In addition to pinworms, other conditions such as moulting, mites, lice, sweet itch, roundworms, allergies, and bacterial or yeast infections can also cause itching.

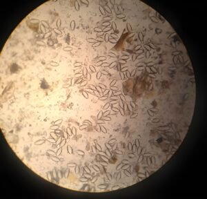
To ascertain whether pinworms are the culprit, several indicators can be examined for a positive identification. Pinworm eggs are unlikely to be detected in a fecal worm egg count since, although the worms inhabit the intestinal tract, the eggs are laid externally. Instead, a Sellotape or adhesive tape test can be performed to check for the presence of the parasite’s eggs. While this method is not definitive, it provides one of the best opportunities for identification.

ADHESIVE TAPE TEST FOR PINWORM DETECTION

To check for pinworms, take an adhesive tape sample from the area beneath the horse’s tail. It is best to collect the sample in the morning, preferably before 9 AM, as pinworms are most active during the night. This timing increases the likelihood of detecting any signs of their presence. Use a 4-inch piece of clear sticky tape and press it firmly against the skin around the anus (avoiding the hair). Fold the tape in half, with the sticky sides facing each other. Place the folded tape into a sample bag, ensuring it is clearly labeled. Send it to Vet-Lab using the prepaid envelope along with your completed slip. The sample will be examined under a microscope to check for pinworm eggs, and you will receive your results via email. 

TREATMENT OPTIONS FOR PINWORM

Pinworms can be challenging to eliminate. If an infection is confirmed, we recommend treating with pyrantel or a five-day course of fenbendazole. While ivermectin and moxidectin are also approved for use against Oxyuris equi, we have found them to be less effective based on anecdotal evidence. The deworming treatment should always be given orally, following the guidelines provided in the data sheet, as this method effectively targets the worms residing in the digestive tract.

Some advice suggests administering dewormers rectally or applying them to the skin around the anus. However, this approach is not recommended, as it has limited effectiveness against pinworms and can introduce harmful chemicals into the environment.

The female pinworms that exit the colon and rectum to lay their eggs are on a self-destructive path and will die regardless. The natural movement of faeces will quickly carry any dewormer applied in this manner away, failing to address the pinworm population within the horse’s digestive system.